什么是双下巴肌肉捆绑?
形成双下巴的主要原因是脂肪堆积和颈阔肌松弛。手术的核心是去除多余的脂肪,并将松弛的颈阔肌向中央收拢并固定,改善下垂的轮廓线条,使下颌线恢复紧致与弹性。AB通过分离并重新固定颈阔肌的方式,有效改善松弛的双下巴结构。
AB在充分分析患者情况后,进行针对性的双下巴悬吊手术。
双下巴肌肉捆绑前后


术前
术后一个月
双下巴肌肉捆绑前后


术前
术后两个月
1. 彻底去除至脂肪层,使紧致效果维持更久
AB 双下巴肌肉捆绑,跟据需要会同时进行颈阔肌及脂肪去除,完成无反弹担忧的紧致轮廓线条。皮下脂肪到颈阔肌,彻底去除脂肪

收紧颈阔肌,改善松弛的颈部肌肉

双下巴肌肉捆绑前后(颈阔肌下垂+去除脂肪)


术前
术后两周
双下巴肌肉捆绑前后(颈阔肌下垂+去除脂肪)


术前
术后一个月
2. 使用专业化的先进唾液腺去除设备,实现快速恢复与显著双下巴改善效果
当双下巴的原因来自过度发达的唾液腺时,仅靠去除脂肪或处理松弛的颈阔肌,效果往往有限。 由于唾液腺周围密集分布着神经与血管,普通手术存在较高的副作用风险。但 AB使用专门针对唾液腺去除的先进设备,可实现更安全、精准的手术效果。专用先进唾液腺去除设备

→ 最大限度减少炎症并促进愈合
→ 手术更迅速,肿胀更少
→ 需要额外止血过程,导致手术时间延长
Source: LigaSure-Assisted Submandibular Gland Excision in Deep-Plane Neck Lift: Review of 83 Patients Plast. Reconstr. Surg. 155: 35, 2025.)
+ 双下巴肌肉去除术 与 双下巴吸脂术 的区别是什么?
由于腮腺(唾液腺)发达导致的双下巴,仅通过双下巴肌肉去除术可能效果有限。在这种情况下,通过安全地去除唾液腺,能更显著改善双下巴效果。双下巴肌肉捆绑前后
(颈阔肌下垂+脂肪去除+去除唾液腺)


手术前
术后一周
双下巴肌肉捆绑前后
(颈阔肌下垂+脂肪去除+去除唾液腺)


手术前
术后一个月
3. 不留痕迹的双下巴肌肉去除术切口
双下巴肌肉去除术的切口位于不易被看到的下巴下方位置,因此从正面几乎看不出痕迹。正面看不到切口位置
术后两周后切开疤痕渐渐变淡



术前
术后两周后疤痕
术后一个月疤痕
* 以上为AB整形外科实际手术疤痕恢复照片,效果因个人体质及情况可能有所差异。
+ 稍等!双下巴肌肉捆绑和双下巴脂肪细致区别是什么?
双下巴肌肉捆绑手术不仅仅是处理皮下脂肪,
而是从根本上改善造成双下巴的肌肉松弛与深层脂肪问题。
收紧松弛的颈阔肌 + 去除深层双下巴脂肪
单纯的脂肪吸脂
- 固定松弛的颈阔肌
- 皮下脂肪,颈阔肌及脂肪去除
去除皮下脂肪
- 过多的双下巴脂肪和颈阔肌下垂情况
- 需要颈阔肌深层去除脂肪情况
仅皮下脂肪堆积明显的情况
从根本改善脂肪,下垂的肌肉
颈阔肌松弛的情况改善效果较低
解决松弛的肌肉,复发可能性较低
双下巴复发可能性较高
AB特点
双下巴肌肉捆绑,选择AB的理由
1. 以实力与经验证明的拉提(提升)专业医疗团队
具备丰富临床经验与专业技术的整形外科专科医生团队
通过持续的学术研究与研讨活动,不断提升拉提手术的满意度与效果

2. 拉皮,筋膜提升国际学会进行
基于大量临床经验与研究案例定期主办国际学术会议,将面部提升(拉提)技术向全球分享与传递

3. 面向国内外医疗专家开展拉提(提升)手术直播示教
通过 IFAAS 学会,针对国内外医疗相关专家
开展面部提升、拉提手术的现场直播示教

4. 与大学医院、上级医院构建医疗协作体系
与盆唐首尔大学医院、翰林大学东滩圣心医院等
建立紧密的诊疗协作体系,为患者提供最安全、最优质的医疗服务系统

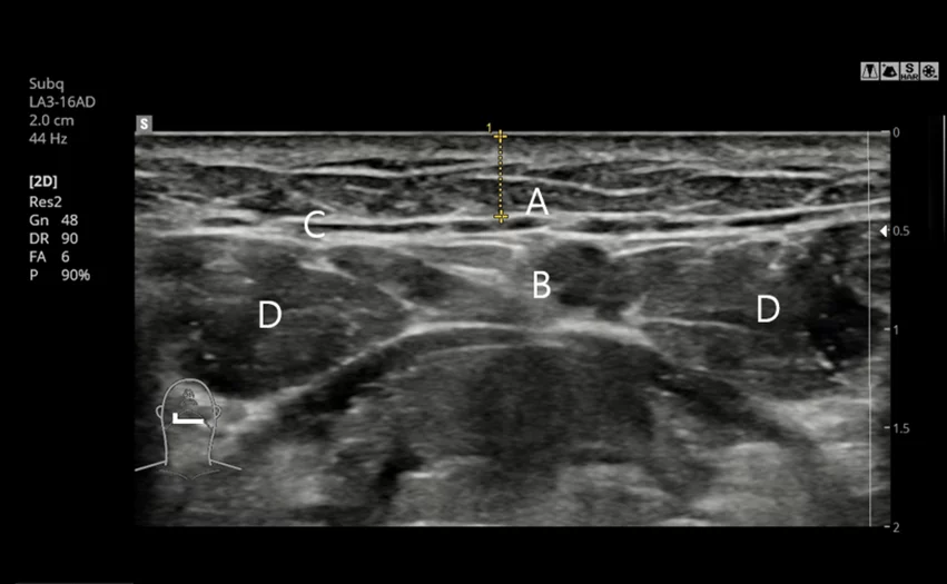
5. 手术前通过 CT 与超声进行精密个性化诊断
通过 CT 影像与超声检查
精确分析脂肪层位置与大小,
必要时可进行更加细致、个性化的脂肪层去除手术。

6. 使用专业的脂肪抽吸器械,更安全、更精细地进行手术
在改善双下巴时,如需要进行脂肪去除,
AB 采用专用的高等级脂肪切除与抽吸设备,
让手术过程更加安全、精准。

7. 只有AB的个性设计咨询笔记
使用个人定制的提升(拉提)设计笔记进行术前咨询,
收集手术方法与手术计划后,撰写专属设计咨询记录。

※ 实际咨询时记录的设计咨询笔记
8. 员工也信赖的AB整形外科
AB整形不仅受到顾客信赖,连员工及其家人都选择在此手术。这是因为AB以责任感与高安全性赢得信任。

1. 以实力与经验证明的拉提(提升)专业医疗团队
具备丰富临床经验与专业技术的整形外科专科医生团队
通过持续的学术研究与研讨活动,不断提升拉提手术的满意度与效果

2. 拉皮,筋膜提升国际学会进行
基于大量临床经验与研究案例定期主办国际学术会议,将面部提升(拉提)技术向全球分享与传递

3. 面向国内外医疗专家开展拉提(提升)手术直播示教
通过 IFAAS 学会,针对国内外医疗相关专家
开展面部提升、拉提手术的现场直播示教

4. 与大学医院、上级医院构建医疗协作体系
与盆唐首尔大学医院、翰林大学东滩圣心医院等
建立紧密的诊疗协作体系,为患者提供最安全、最优质的医疗服务系统

5. 手术前通过 CT 与超声进行精密个性化诊断
通过 CT 影像与超声检查
精确分析脂肪层位置与大小,
必要时可进行更加细致、个性化的脂肪层去除手术。

6. 使用专业的脂肪抽吸器械,更安全、更精细地进行手术
在改善双下巴时,如需要进行脂肪去除,
AB 采用专用的高等级脂肪切除与抽吸设备,
让手术过程更加安全、精准。

7. 只有AB的个性设计咨询笔记
使用个人定制的提升(拉提)设计笔记进行术前咨询,
收集手术方法与手术计划后,撰写专属设计咨询记录。

※ 实际咨询时记录的设计咨询笔记
8. 员工也信赖的AB整形外科
AB整形不仅受到顾客信赖,连员工及其家人都选择在此手术。这是因为AB以责任感与高安全性赢得信任。

AB专属的个性化诊断,管理系统
从咨询到恢复,全程由负责医生进行 1:1 的专属照护,我们承诺提供始终如一的个性化管理。
1. 负责医生提供 1:1 个性化咨询

2. 个人专属医生亲自手术

3. 专属麻醉科专家实时监测

4. 室长一对一专属管理

5. 负责医生亲自术后检查与跟踪

BEFORE & AFTER 颈部提升前后
全脸SMAS提升 + Endotine额头提升 + 颈部提升 + 双下巴肌肉捆绑 + 取颊脂垫 + 脂肪填充 + 上下眼睑手术
安全系統
通過構建多種安全管理系統,患者可以更安全地接受手術。

常駐麻醉疼痛醫學科專家
常駐麻醉疼痛醫學專業醫生,從手術前到手術中、手術后,即時管理所有手術的全過程。

麻醉中實時監控
麻醉疼痛醫學專業醫生即時監控手術中的患者,通過中心檢測系統雙重、三重地檢查。

術前安心檢查
為了更安全的手術,構建院內自我檢查系統術前進行綜合檢查。

大學醫院級安全裝備
通過構建多種安全管理系統患者可以安心更安全地接受手術。
关于提拉一些常见问题
20-30岁人群推荐能有效改善面部松弛的非手术疗程,如激光仪器,玻尿酸,肉毒素等施术。 30-40岁人群适合结合埋线提升、迷你拉皮等轻度手术方式,与20~30岁常用的非手术项目搭配进行效果更佳。 40岁以上人群推荐半面部或者全脸拉皮等手术方法。
































































