手術情報
下眼睑
推薦對象
- 1. 眼底肿胀,给人疲惫和邪恶感的印象
- 2. 眼睑下垂严重,看起来像老人人群
- 3. 眼底没有弹性,只有皱纹的人群
- 4. 有黑眼圈的人群
手术时间
:
1小时左右
麻醉方式
:
局麻或睡眠麻醉
访院治疗
:
2-3次
恢复期
:
5-7日后
下眼睑
看起来富有弹力的童颜眼部重点是没有人为、不自然的感觉,打造自然、细滑、富有弹力的眼底。
AB下眼皮可精密诊断眼底下垂、皮肤与肌肉弹性、皮肤厚度等因人而异的眼底状态, 去除适量眼底脂肪、皮肤,固定眼轮肌,打造富有弹力的光滑童颜眼底。

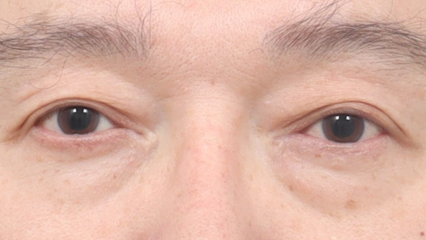
手术前

手术后1周

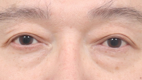
手术前

手术后2周
手术方法

01. 最少化切开
切开最小化保留眼轮肌神经

02. 去除脂肪或重新排列,强化隔膜

03. 提拉眼轮肌固定
提拉下垂的眼轮肌,垂直固定 实现中面部提拉效果、生成卧蚕

04. 切开剩余肌肤后缝合
考虑肌肤多余部分,准确切开后缝合,预防眼睑外翻
下眼睑手术需要注意不要做过度。
矫正强度大时,会发生下眼睑向外侧翻起的眼睑外翻现象,可能会引发眼眸不自然。
AB通过适量去除皮肤和脂肪,完成无副作用的自然童颜眼眸,最大程度地减少疤痕、浮肿、淤青,可快速恢复日常生活。
1. 适当去除皮肤脂肪组织
AB可准确去除符合个人眼底状态的皮肤、脂肪组织量,打造自然、细滑的眼底。 自然留下的泪袋给人一种非人为的印象。

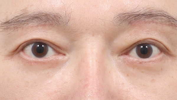
手术前

手术后1周

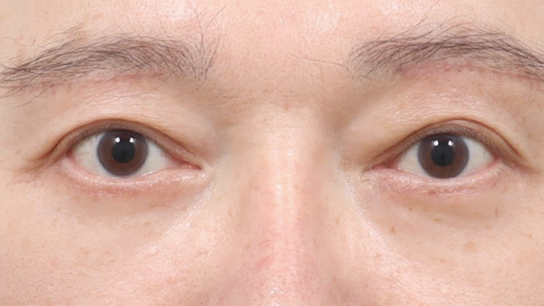
手术前

手术后1周
2. 轻微疤痕、小浮肿、淤青
通过下睫毛线条及最小切口,根据个人的眼部状态去除适当的皮肤、脂肪组织, 手术疤痕、浮肿、淤青少,几乎不显眼,可快速恢复日常生活。

手术前

手术后1周

手术前

手术后1周
但如果是这样的眼睛,比起下眼睑,更推荐MINI下眼睑。
眼底弹性下降 不严重时
因为眼睛下垂, 眼底脂肪较多时
眼底脂肪的数量 多数情况下
眼底切除手术是 感到负担时
MINI下眼睑术与下眼睑术不同,不切除松弛的皮肤,而是切开眼内侧结膜,去除眼底脂肪的手术。 眼底脂肪量过多、显老时,可根据肌肉与皮肤状态通过迷你下眼睑术改善眼底。
MINI下眼睑手术方法

01. 手术前

02. 细微切开眼内结膜确保术后看不见疤痕

03. 将过多得脂肪移动至凹陷的位置进行再次排列

04. 提拉下垂的眼部隔膜恢复平坦肌肤后固定与缝合

05. 手术后

手术前

手术后1周

手术前

手术后1周
AB特点
下眼睑,选择AB的理由
1. 人为印象NO 自然印象OK
AB下眼睑手术不会强行进行,因此不会产生人为和不自然的印象,而是会自然地让眼部显得年轻。

手术前

手术后1周
2. 精确细致的缝合,素颜下也不明显的伤痕
手术切口线经过缝合处理,细致且严谨,缝合无缝隙,从而将伤痕的凹凸最小化。

手术前

手术后1周
3. 将下垂复发最小化的AB技术力量
通过适当去除松弛的皮肤和脂肪,将松弛的眼轮肌垂直拉紧并牢固固定, 从根本上解决眼部下方松弛和肿胀的问题,最大程度地减少眼下松弛的再发。
手术前

手术后1个月

手术后1个月

4. 疲惫和显老的眼神改善
通过改善因老化而失去弹性的下眼睑皮肤和肌肉,深层泪沟、黑眼圈以及眼下皱纹等老化痕迹, 有效地改善这些问题,打造富有弹性、充满活力的年轻眼神。

手术前

手术后1个月

手术前

手术后1个月
5. 针对个人的中年眼底解决方案
整体上精密诊断眼睛与眼底状态,制定1:1手术计划后施行手术,打造无副作用的令人满意的手术结果。
眼底凹陷程度
眼底皮肤,肌肉组织 弹性程度
皮肤厚度
眼底脂肪量
眼睛形状
中年眼部整形 前后
手術部位
上眼检 / 后眼角 / 下眼角 / 迷你提升 / 额头提升术 / 额头缩小 / 脂肪移植 2个月
安全系統
通過構建多種安全管理系統,患者可以更安全地接受手術。

常駐麻醉疼痛醫學科專家
常駐麻醉疼痛醫學專業醫生,從手術前到手術中、手術后,即時管理所有手術的全過程。

麻醉中實時監控
麻醉疼痛醫學專業醫生即時監控手術中的患者,通過中心檢測系統雙重、三重地檢查。

術前安心檢查
為了更安全的手術,構建院內自我檢查系統術前進行綜合檢查。

大學醫院級安全裝備
通過構建多種安全管理系統患者可以安心更安全地接受手術。



















































