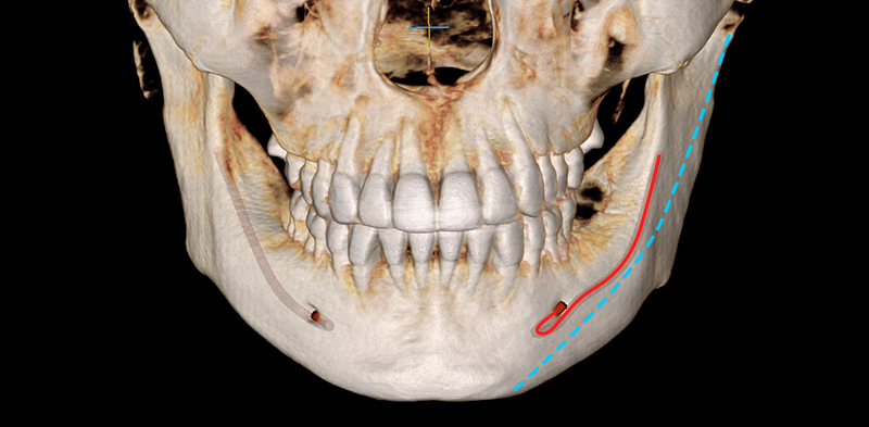
通過X-ray和CT拍攝,考慮準確的神經線位置和肌肉形狀后診斷手術方法。 下巴寬度和長度根據患者想要的模樣來設計。
最終都是為了打造美麗臉部線條的手術方法。 面部輪廓整形經驗豐富的 首爾大學醫學博士診斷理想的面部比例,以熟練的技術和細膩的感覺配合患者進行手術。

手術時間
:
1 ~ 1.5小時
麻醉方法
:
全身麻醉
來源治療
:
1-2次
恢復期間
:
7天后
下巴手術
下巴手術根據下巴形狀不同,手術方法也不同。
用“T”截骨截取中間的骨骼,縮小下巴寬度, 從正面獲得切實的效果。

手術前

手術後3個月

手術前

手術後3個月

根據下巴寬度調節縮小量的設計

通過口腔切開將下巴末端骨骼切除

調整剩餘兩側骨骼,縮小下巴寬度

固定骨骼后順暢切除側頜骨
通過橫向截骨去除中間骨頭,縮短下巴長度,平滑地削掉下頜角,獲得下巴變小的效果。

手術前

手術後4個月

手術前

手術後4個月

橫向削骨以縮短長度

將下骨向上提拉,縮小下巴長度

固定骨骼后順暢切除側頜骨
縮小寬下巴,向下移動骨骼,延長長度,矯正短下巴,打造修長、清晰的面部線條。

手術前

手術後1個月

手術前

手術後4個月

設計下巴骨骼延長的長度和縮小的幅度

不去除截的骨骼,調整至下巴下方,延長長度

將兩側骨骼放在剩餘骨骼上固定,縮小寬度

順暢切除兩側凸出的下頜骨 *在恢復過程中,骨頭會長在空曠的空間裡。
下巴橫向截骨向前移動固定,不僅從側面而正面也能獲得明顯效果。

手術前

手術後7個月

手術前

手術後7個月

下巴橫向切骨

將下巴骨向前移動並固定
AB 解決方案
如正面也想要秀氣的臉型,則最好同時進行下巴和下頜角手術。 根據個人的下巴形狀和喜好,通過多種切骨法打造出美麗的下頜形狀。

凹凸不平的下巴線條

顯得光滑、秀氣的下巴線條

正面效果不足的下巴線條

從正面側面,下頜線都很纖細
採用下巴與下頜角綜合手術,無二次角 打造光滑的下巴線條與側面下頜看起來不寬現象的清秀面容。
下巴手術、AB的理由
通過3D-CT掌握神經線路徑后,計劃切骨範圍,避開神經線進行切除

同時施行下頜角縮小術,打造無階梯差、流暢的下巴線條

考慮到臉部的均衡,為了調節下巴的長度和位置、形狀,根據適合個人下巴形狀進行量身定製式手術。
正面

手術前
8個月後
45度

手術前
8個月後
側面

手術前
8個月後
同時進行下巴手術和下頜角手術,從側面和正面也能打造出修長、自然的面部線條

手術前

6個月後

手術前

5個月後
效果、安全、美麗都不放過 擁有面部骨骼手術多種訣竅的專業醫生可實現最佳手術結果。

輪廓3件套 手術 售後服務

透過醫療用 LED 治療設備,有效改善術後疤痕,有助於緩解浮腫與瘀青。

利用超聲波,促進皮膚細胞的活動,鎮定肌膚、再生肌膚。

把高頻能量傳導到皮膚深處,促進血液和淋巴循環,有助於快速恢復。

為了快速恢復, 我們會準備適合患者的家庭護理套件, 在家中也可以進行系統的護理。
消腫管理
拆口內線
消腫管理
消腫管理 LDM
CT檢查
與主治醫生進行複診
消腫管理
高周波管理







輪廓 3 件套(下顎角+顴骨+下巴)/額頭提升/面部脂肪填充 術後 9 個月
透過構建多種安全管理系統,患者可以更安全地接受手術。

常駐麻醉痛症醫學科醫生,從手術前到手術中、手術後,實時管理所有手術的全過程。

麻醉痛症專業醫生實時監控手術中的患者,透過中心檢測系統雙重、三重地檢查。

為了更安全的手術,構建院內自我檢查系統,術前進行綜合檢查。

透過構建多種安全管理系統,患者可以安心、更安全地接受手術。
*星期日,公休日休診